אובדן השיניים הטוחנות בלסת העליונה, מוביל לספיגת הרכס ולחוסר בעצם. מצב זה מקשה על התקנת שתלים, ועד לפני כעשרים שנה, מטופלים רבים נאלצו להשתמש בתותבות נשלפות. השימוש בתותבת אלה כרוך בהסתגלות לגוף זר ומלווה באי נוחות באכילה, בתפקוד ופגיעה באיכות החיים. בשנות התשעים, תחום השתלות העצם המתפתח, הוביל את החוקרים לפתח טכניקה כירורגית בה ניתן להצמיח עצם על חשבון הסינוס המקסילארי, ובכך לאפשר התקנת שתלים. הפעולה נקראת: "הרמת ריצפת הסינוס המקסילארי".
מהי הרמת סינוס? ד"ר ברנרד דהן, מומחה לרפואת חניכיים
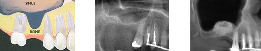
מהו הסינוס המקסילארי?
הסינוס המקסילארי הוא אחד החללים הריקים בתוך הגולגולת, ושייך למשפחת הסינוסים אחרים כמו הסינוסים הפרונטאליים, האתמואידאלים, הספנואידאלים ומקסילאריים. קיימים שני סינוסים מקסילאריים (השמאלי והימני) הסינוס ממוקם מעל הלסת העליונה, לצד מערות האף ומתחת לארובת העין. הוא חלק בלתי נפרד מדרכי הנשימה העליונות. רקמה מאוד עדינה, הנקראת "ממברנה", מרפדת כל החלל.

מהו תפקידו של הסינוס המקסילארי?
תפקידים רבים יש לסינוס המקסילארי: נוכחות הסינוס מפחיתה את משקלן של עצמות הגולגולת ומגנה על המוח במקרה של טראומה. חלל הסינוס משתתף בפונטיקה ומאזן את טמפרטורה של האוויר הננשף. הממברנה הפנימית של הסינוס מייצרת נוזל הנקרא "המוקוס" , אשר מסנן את האוויר במהלך הנשימה.

הרמת סינוס – במה החידוש?
התערבות כירורגית לשיקום רכס העצם ובניית עצם, "הרמת ריצפת הסינוס" יחד עם השתלת עצם כהכנה להתקנת שתלים דנטאליים.
מה קורה במהלך השנים עם אובדן השיניים?
לאחר עקירת שן באזור האחורי של הלסת העליונה, מתרחש תהליך הדרגתי של ספיגת עצם הרכס בלסת. במקביל, ריבוי הנשימות לאורך השנים, נוטה להרחיב את חלל הסינוס ("פנאומטיזציה של הסינוס"). שתי התופעות בו זמנית, מובילות להיעדרות העצם הזמינה להשתלות שיניים, והדבר מחייב את המטופל לשקם את פיו עם תותבת נשלפת.

מהו העיקרון של ניתוח הרמת סינוס?
הניתוח יתבצע ע"י רופא מומחה ומנוסה בכירורגיה עדינה. לפני הניתוח תתבקש למידת המקרה בעזרת צילומים פנורמיים וצילומי סי טי. לרוב, הטיפול יבוצע בהרדמה מקומית וללא אשפוז. מטופל החרד מטיפולי שיניים, יוכל במידת הצורך, לעבור טיפול זה בסדציה עמוקה (טשטוש).
הרופא יפתח, דרך הפה ובצד הלסת העליונה, פתח צד הדומה "לחלון" אל הסינוס המקסילארי ובצורה עדינה וזהירה, ישחרר את הרקמה המרפדת את רצפת הסינוס (שהיא גם תקרת הלסת העליונה). פתיחה זאת נעשית בצורה מכאנית, אך נדרשת הקפדה מיוחדת לא לפגוע או לחרר את אותה הרקמה השבירה באופן מיוחד.
לאחרונה פותח מכשיר אולטראסוני, מכשיר ה"פיאזו-אלקטרי", הדומה לזה של השיננית בהורדת אבנית. טכנולוגיה זו מאפשרת פתיחת העצם ללא פגיעה ברקמה עדינה, בזכות תדרים מיוחדים המצליחים לזהות ולהבדיל בין רקמה קשה לבין רקמה רכה. הדבר מוסיף בטיחות רבה למנתח העובד בנינוחות ומפחית את הפגיעה בממברנה ובכך מקטין את הסיבוכים האפשריים.
טכנולוגיות חדשניות כמו השימוש בלייזר, מוסיפות בטיחות ויעילות למנתח ולמטופל. הפרדה והרמת ממברנת הסינוס, מיועדות ליצור חלל בו יושתל שתל העצם. על פי רוב, כיום נעשה שימוש בתחליפי עצם מבנק העצם או חומר מינראלי מבעלי חיים, דבר החוסך לרופא ולמטופל פתיחת אתר נוסף. לאחר מילוי החלל, הרופא יניח ממברנת קולגן להגנת שתל העצם ולסגירת החלון. תפירה קלאסית מסיימת את הפרוצדורה.

מתי מתקינים את השתלים?
במידה ובסיס רצפת הסינוס המקורי (לפני השתלת העצם ), מספיק עבה (כלומר מעל 3-4 מ"מ), יותקנו השתלים יחד עם הרמת הסינוס, כך שייקלטו בו זמנית השתלים ושתל העצם. במקרים אחרים כאשר רצפת סינוס דקה במיוחד, התקנת השתלים תדחה לשישה חודשים לאחר ריפוי וקליטת העצם. הטיפול המשולב (הרמת סינוס ושתלים), בהחלט מקצר את תהליך שיקום האזור, אך ההחלטה על מהלך הניתוח, נשארת בידיו של המנתח.
כמה זמן אורך הניתוח ומהם כללי הזהירות למטופל?
מדובר בהתערבות של שעה עד שעה וחצי בממוצע. כמו אחרי כל התערבות כירורגית פולשנית ,יש להימנע מפעילות ספורטיבית מוגברת בשבועות הראשונים. הפעלת לחץ אוויר על מערות האף אסורה בהחלט, ויש לדחות טיסות עד לשלושה שבועות מיום הניתוח.
מהן תופעות הלוואי הנפוצות?
המטופלים יקבלו "פרה-מדיקציה" תרופתית מתאימה, שעשויה למתן את תופעות הלוואי, אך לרוב מופיעות נפיחויות ובצקת מתחת לעיין של המנותח, אשר מלוות באי נוחות כמספר ימים. דימומים קלים מהאף ומהפה לא נדירים, ולעיטים רחוקות יופיע שתף דם תת עורי. כאבים משמעותיים הינם נדירים.
מהם הסיבוכים האפשריים?
הסיבוך הנפוץ הוא התפתחות של "סינוסיטיס אקוטית" מספר ימים או שבועות לאחר הניתוח. התופעה מלוות בחום, בלחץ במערות האף מתחת לעין ובתחושה לא נעימה. טיפול אנטיביוטי ייחודי ומתאים יכול להיות הפתרון, אך לפעמים יהיה צורך בהתייעצות עם רופא אף אוזן וגרון. שלב השיקום (התקנת המבנים והכתרים), יבוצע ע"י רופא השיניים הכללי, שישה חודשים לאחר התקנת השתלים.
הרמת סינוס – סיכום:
ניתוח הרמת סינוס הפך בשנים האחרונות לפעולה כירורגית שגרתית לפני התקנת שתלים במקרים של חוסר עצם בלסת העליונה. בזכות ניתוח מסוג זה, מטופלים רבים נפרדו מתותבות נשלפות. יחד עם זאת, מדובר בהתערבות פולשנית עדינה הדורשת מהרופא המנתח ידע והקפדה על פרוטוקול מדויק, מיומנות וניסיון רב בסוג הפעולה הזאת.