מזה שנים רבות, התקנת שתלים דנטלים הינה פרוצדורה שגרתית ברפואת שיניים. עד היום, השתל שהוחדר ללסת היה עשוי מחומר מתכתי מסוג סגסוגת טיטניום.
לאחרונה, נעשו מאמצים רבים בעולם המערבי כדי לנטוש את המתכת למען חומר ביולוגי וטבעי יותר, בעל תכונות של ביוקומפטיביליות עם הרקמות: שתל קרמי, עשוי מ- Z(Zyrconium Oxyde) ZYRCONIA.
זירקוניה מוגדר כחומר קראמי, לא מתכתי, המזכיר יהלום מלאכותי שנחרט במעבדה מיוחדת.
נכון להיום, מרבית השתלים עשויים מסגסוגת טיטניום והם שתלים מתכתיים לכל דבר. אך, קיימים שתלים אחרים – קראמיים, לא מתכתיים, עשויים מזירקוניה. שניהם מגיעים בגדלים ובקטרים שונים ומטרתם לשמש כשורש מלאכותי המותאם למטופל, שעליהן יבנה הכתר או השן העתידית. ההבדל העיקרי בין שני השתלים, נמצא בהיעדרות תכונה מתכתית בשתל הזירקוניה ובצבעו הלבן הדומה בצבעו לשן טבעית, לעומת שתל טיטניום שהוא בצבע אפור מתכתי.
היתרון העיקרי של הזירקוניה הוא היכולת להיקלט טוב יותר ע״י הרקמות, כמו חניכיים ועצם ובנוסף, קיים סיכוי נמוך יותר להצטברות חיידקים היוצרים דלקות.
שתלי טיטניום נחשבים לשתלים הנפוצים ביותר בעולם אך בשנים האחרונות מחקרים מצבעים על גילוי חלקיקי טיטניום משוחררים ברקמות הסמוכות לשתלים ובבלוטות לימפה.

מהם החידושים שהביא עימו שתל הזירקוניה?
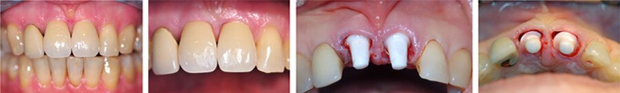
שתל לבן, אסתטיקה מרבית
מאחר ולא רק החלקים השיקומיים יהיו בזירקוניה, אלא, גם “השתל עצמו” יהיה בצבע לבן – הדומה לצבע השורש הטבעי. הדבר משפר בצורה משמעותית את התוצאות האסתטיות, בעיקר באזור הקדמי של הפה, ובייחוד אם החניכיים דקות מאוד, שקופות וקיימת חשיפת שתל.
צבעו הלבן, אשר נותן מענה אסתטי טוב יותר, מהווה יתרון משמעותי על פני שתל הטיטניום המתכתי. היתרון בולט במיוחד באזור קו החיוך ובקרב מטופלים עם חניכיים דקות או עם נטייה לנסיגות חניכיים – בשונה משתל הזירקוניה, שתל הטיטניום עלול להשתקף דרך החניכיים ולחשוף צבע אפרפר, לא אסתטי.
ביוקומפטביליות (תאימות ביולוגית) גבוהה יותר
הזירקוניה עובר תהליך של אוסאואינטגרציה (תהליך החיבור של עצם הלסת עם גוף השתל) הדומה לזו הקיימת עם הטיטניום, אך החומר ידידותי יותר עם הרקמות הרכות ובעל יכולת התאמה ביולוגית טובה לחניכיים. זאת לעומת הטיטניום, שאיתו נתגלו (על פי מחקרים חדשים), מקרים של אלרגיה ושחרור חלקיקים מתכתיים לרקמות הסמוכות – אחת ההשערות לסיבוכים הביולוגים המתרחשים סביב השתלים יחד עם תגובה חיסונית לקויה המאופיינת ע״י דלקת חניכיים ואובדן עצם סביב השתלים, מה שנקרא ״פריאימפלנטיטיס״.
אימפלנטולוגיה “נטולת מתכת” (METAL FREE)
הרצון להיפרד ממתכות הינו תופעה המתרחבת בעולם רפואת השיניים. קיימת נטייה להחליף את הסתימות המתכתיות מסוג אמלגם לטובת סתימות לבנות עשויות מחומרים מרוכבים, וללא מתכת. תהליך דומה קורם עור וגידים בכל הנוגע לשתלים הדנטליים.
היתרונות המכניים
חומר הזירקוניה עבר בשנים האחרונות שיפורים:
- הגברת חוזק כיפוף
- הפחתה באלסטיות
- עמידות יתרה לשבר
- השימוש בשתלי זירקוניה נפוץ כבר באירופה בעיקר בשוויץ, צרפת וגרמניה, מדינות שבהן יש מודעות גבוהה לפרידה ממתכות.
- בארץ, הניסיון האישי, הוא מעל שש שנים, אך התופעה תופסת תאוצה וגם חברות השתלים הישראליות נכנסו למרוץ.

התמונה באדיבותו של ד”ר ג’ין לואי רוש, ניס, צרפת.
הכירו את שתלי הזירקוניה ואת יתרונותיהם: ד”ר ברנרד דהן בתוכנית “סטטוסקופ”, רשת 13
מדוע להעדיף שתל זירקוניה ולמי הוא מיועד?
שתי סיבות פשוטות לבחור בו: אסתטי וביולוגי יותר
כיום, בקרב מטופלים רבים, קיימת רמת מודעות גבוהה לאסתטיקה והיא נמצאת גבוה בסדר העדיפויות. בנוסף, הנטייה הכלל עולמית ברפואת שיניים היא לחפש פתרונות טיפוליים ללא מתכות.
למי מיעוד השתל?
השתל מיועד לכל מי שזקוק לשתלים אך התהליך דורש ניסיון ושיקול דעת מצד הרופא המנתח והמשקם.
לשתל זירקוניה יש עתיד לבן מזהיר.
צוות הרופאים והיועצות במרפאה ישמחו לעמוד לרשותכם למתן מידע נוסף על שתל הזירקוניה. התקשרו אלינו ל – 04-8343333 או לחצו כאן, מלאו את הפרטים ונשמח לחזור אליכם בהקדם.