חדש ב- PERIOTEAM 78!
מכשיר הלבנת השיניים החדשני של חברת PHILIPS – מכשיר ההלבנה המתקדם ביותר בעולם בעידן החדש של הלבנות שיניים אשר מתבצעות במרפאות.
המכשיר מצויד במנורת LED חדשנית אשר עובדת עם אור קר, ובניגוד למכשירים מוכרים, אשר עד היום עובדים על אור חם, האור הקר מונע העברת חום לשיניים ושומר עליהן בפני כל נזק, מעלה את יעילות ונוחות הטיפול תוך השגת תוצאות הלבנה מקסימליות תוך 45 דקות בלבד.
תהליך הלבנת שיניים בשיטת ZOOM הינו פשוט מאד, נטול כאב או אי נוחות ונותן תוצאות מיידיות, עד 8 דרגות שינוי בגוון.
בשיטה זו, קרני ה- UV גורמות לאקטיבציה של חומר ההלבנה ובכך משפרות את תוצאות הטיפול באופן משמעותי כאשר זמן הטיפול מתקצר.
גם אם אנו לא צורכים משקאות שצובעים שיניים כגון: קפה, תה, יין אדום או מעשנים, עדיין צבע השיניים עלול להיראות צהוב. אך כיום יש פתרון קל ובטוח להשגת הצבע הלבן.
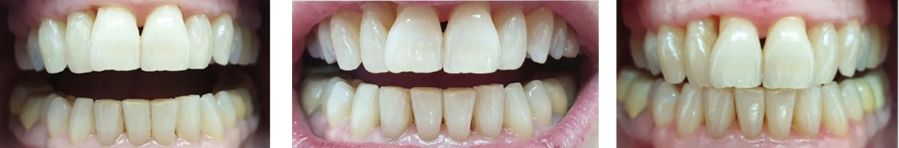
הלבנת שיניים בשיטת “אור קר” (זום) – לפני ואחרי
אנו במרפאה ממליצים, כשבועיים לפני תחילת תהליך ההלבנה, לבצע ניקוי אצל השיננית ובדיקת רופא. רק רופא במרפאה יתווה את הטיפול המתאים על מנת להגיע לתוצאה המיטבית הרצויה.

כיצד פועל חומר ההלבנה?
אמייל השן או זגוגית השן – שכבה חיצונית שקופה המצפה את כותרת השן ומגנה עליה.
כשבועיים לפני תהליך ההלבנה, יתבצע ניקוי של כתמים אשר קיימים בחלק החיצוני של האמייל (כתמי יין, קפה, תה וכו’). הניקוי יתבצע על ידי השיננית או הרופא.
הצבע האמיתי של השן הוא צהוב/חום, הוא למעשה נקבע על ידי הדנטין, הנמצא בשכבה מתחת לאמייל השן ומשתקף דרכו. לפיכך, גם אם נצחצח חזק ובתדירות גבוהה, השיניים לא תהיינה לבנות או בריאות יותר, להפך, אנו עלולים לגרום לנזק בלתי הפיך לשיניים או לחניכיים. בתהליך ההלבנה, החומר הפעיל חודר דרך האמייל באמצעות אור קר ומפרק את פיגמט הצבע (צהוב/חום). בעקבות כך, הדנטין עובר למעשה תהליך של הבהרה וצבע השן אשר נראה לעין יהיה בהיר יותר.
הלבנה מקצועית נכונה אינה פוגעת בשן ואינה מזיקה לשכבת האמייל או לעצב השן.

מדוע הלבנת שיניים?
כתוצאה מגורמים שונים כמו גיל, עישון, היבטים גנטיים, טראומות ומזון, השן עשויה להפוך לצהובה או לכהה. לכן יתכנו מצבים של אי נוחות אסתטית לאנשים רבים. פיגמנטים אשר חודרים לאמייל ומגיעים לדנטין ושם הם נשארים ויוצרים את הצבע הצהוב שאנו רואים.
עם הופעתה של רפואה משמרת והקונספט של שמירה על השיניים במצב הקרוב ביותר למצבם הטבעי, הלבנת שיניים הפכה לאופציה טובה מאוד, היא מתגברת על הצבע הצהוב ומשיגה ברוב המקרים תוצאה אופטימלית לשביעות רצון המטופלים.
לקבלת ייעוץ או לקביעת תור במרפאתנו בחיפה, מוזמנים להתקשר אלינו ל- 04-8343333 או לחצו כאן, מלאו את הפרטים ונשמח לחזור אליכם בהקדם.
שיטות נוספות להלבנת שיניים
הלבנת שיניים ביתית – איך להלבין שיניים בבית?
- ריכוזו של חומר ההלבנה – (Carbamide Peroxide (20-22%
- 3 עד 4 שעות / שימוש לילה
- (עד 10%) Hydrogen Peroxide – 30 עד 50 דקות / שימוש בוקר
- ריכוז החומר המלבין נמוך יותר ומבוצע בעזרת סד רך שקוף לשימוש אישי.
- טיפול זה אמור להימשך שבועיים עד ארבעה שבועות עם ביקורות שבועיות.
הלבנת שיניים ביתית – לפני ואחרי

הלבנת שיניים במרפאה בשיטת “אור חם”
הלבנה אשר מתבצעת במרפאה בעזרת מכשיר המבצע פעולת חימום.
- ריכוז חומר ההלבנה – (Carbamide peroxide (30%-37% או (Hydrogen Peroxide (20-38%
- ריכוז החומר המלבין גבוה יותר ולכן נדרש בידוד מוקפד של אזור החניכיים על מנת להגן עליו.
- תהליך זה נמשך בין 45 דקות לשעה ויש צורך לחזור עליו במרווח של 7 עד 10 ימים, סך הכל 2 מפגשים.
הלבנת שיניים בבית או במרפאה, מה יעיל יותר?
שתיהן יעילות, תלוי מה הכי מתאים למטופל באופן אישי. מצד אחד למטופלים עם צוואר שיניים באזור בוקאלי, מומלץ לבצע את הלבנה במרפאה, זה מאפשר להוסיף מגן באזור צווארי וגם בחניכיים.
מצד שני, למטופלים שלא ממהרים, משתפים פעולה או שקיימת רגישות רבה בשיניים, מומלץ לעשות את הטיפול הביתי מאחר וריכוז החומר המלבין נמוך יותר. הסיכוי לרגישות גבוה יותר בשימוש במכשיר המבצע פעולת חימום – “אור חם”.
הטכניקה
ההבדל בין הטיפול הביתי לזה שבמרפאה, הוא ריכוז החומר של הג’ל להלבנה וטכניקת ההלבנה, כאשר במרפאה ההלבנה מתבצעת באמצעות מכשירים שונים המאיצים את תהליך ההלבנה – מכשיר העובד עם “אור קר” בשיטת ה ZOOM או מכשיר המבצע פעולת חימום – “אור חם”.
*חשוב לדעת: החומר הפעיל שגורם להלבנת שיניים אינו משפיע על הצבע של סתימות וכתרים. כמו כן, שחזור שיניים עם קומפוזיט מומלץ רק שבועיים מסוף הטיפול.
מה לעשות במקרה של רגישות?
*רגישות יכולה להתעורר בעיקר בהלבנה עם המכשיר המבצע פעולת חימום – “אור חם”.
- מומלץ להשתמש במשכך כאבים נגד רגישות לאחר הטיפול – 3%+ פלואור 0,25%KNO3 – רגישות שעלולה להתעורר בהלבנה עם המכשיר עם אור חם.
- מרווחים ארוכים בין מריחת ג’ל לטיפול ביתי או טיפול במרפאה.
באילו מקרים אין לבצע הלבנת שיניים?
- מתחת לגיל 17.
- נשים בהריון ומניקות.
- כאשר ישנה רגישות גבוהה בשיניים.
- שיניים אפורות.
- עישון – לא מומלץ. עלול לפגוע בהצלחת התהליך.
הלבנת שיניים במרפאה – מקרה קליני
- מטופלת, בת 40, הגיעה לאחר ניתוח חניכיים והתלוננה לגבי צבע השיניים שלה.
- בוצעה בדיקה מקיפה בשיניים (נוכחות עששות, סתימות, כתרים וצוואר בוקליט) ובדיקת בריאות החניכיים. חשוב לזכור כי לפני שמתחילים הלבנת שיניים, החניכיים חייבות להיות בריאות וללא נוכחות של עששת.
- המטופלת אובחנה עם צוואר בשיניים עליונות קדמיות, כתרים בשיניים אחוריות אבל חניכיים בריאות. על מנת להשיג את התוצאה האופטימלית, במקרה זה היה מומלץ לבצע הלבנת שיניים במרפאה ולקחת בחשבון שתהיה רגישות קלה בשיניים.
- בטרם מניחים את הג’ל על השיניים, חשוב לעשות ניקוי עם פומס ולייבש את האזורים המיועדים לעבור הלבנה.
- הלבנה בוצעה באמצעות Hydrogen Peroxide 38% אחוז.
- מריחת שכבת ג’ל על השן במשך 45 דקות (החלפת הג’ל כל 15 דקות) עם מגן על החניכיים ובצוואר השיניים.
לאחר שלושה מפגשים, קיבלנו תוצאה משביעת רצון. לאחר שבועיים בוצע כיסוי עם סתימה לבנה באזור של השורשים.
התוצאה לפניכם:
